矯正歯科

きれい・咬める・長持ちする

望月歯科医院の3つの矯正治療

  1. シェイプメモリー(=形状記憶)アライナー矯正
  2. アラインチューブ(=突起物が不要な)矯正
  3. マルチブラケット(=従来の針金)矯正

「どの矯正治療が良いのか
分からない」とお悩みの方へ

「歯並びを治したいけど、自分にはどの矯正が合うのか…」
「目立つのは嫌だけど、ちゃんと治るの?」
「痛いのは怖い…」

そんな不安をお持ちではありませんか?
当院では、主に3つの矯正方法をご用意しています。
それぞれの違いや特長を分かりやすく解説しますので、ご自身に何が合うのかご参考にいただけますと幸いです。

シェイプメモリー(=形状記憶)
アライナー矯正

「目立たない」「痛みが少ない」「取り外しOK」な、次世代のマウスピース矯正

透明なマウスピース(アライナー)を歯に被せて、少しずつ歯を動かしていく当院のメイン矯正治療です。
本マウスピースはただのプラスチックではなく、「形状記憶(シェイプメモリー)」という特殊な素材を使っています。

ここがポイント!

お湯で柔らかくしてからアライナーをお口に入れると、体温で元の形に戻り、矯正力が働きます。
優しい力で歯への矯正力を発揮するため、締め付けられるような痛みが少ないのが大きなメリットです。

治療中の見た目やご自宅で行うこと

見た目

透明なので、着けていることにほとんど気づかれません。

ご自宅で行うこと

食事と歯磨きの時以外は、1日20時間以上装着します。

装置の特長

当院は院内に製造設備があるため、トラブルへの対応も迅速です。

当院ではまず、8週間(2ヶ月)分をお渡しします。2ヶ月に1回、型取りや計画を設計するので、安心安全に歯を動かすことが可能です。
※制作工程については、本ページ下部をご覧ください

アラインチューブ
(=突起物が不要な)矯正

「ワイヤー矯正なのに目立たない」
効率よく動かすハイブリッドな方法

歯の表面に「ブラケット」と呼ばれる四角い突起物をつけず、極薄のチューブと白いレジン(プラスチック) を用いて、白~透明なワイヤーを固定する「ブラケットフリー矯正」と呼ばれます。
ワイヤーの「歯を動かすスピード」と、マウスピースの「目立ちにくさ」の良いとこ取りを目指した治療法です。

従来のワイヤー矯正より「早く」治る理由

参考文献:WDSC

最大の利点は、「歯までの距離」です。
歯の表面ギリギリにワイヤーを通すことで、歯を動かすためのポイントに直接力が伝わるため、従来の約半分程度の期間で治療が完了するケースも珍しくありません。

治療中の見た目やご自宅で行うこと

見た目

参考文献:WDSC

歯の表面に透明な装置がつきますが、金属ワイヤーより目立ちにくいです。

ご自宅で行うこと

装置(チューブ)の周りに食べ物が詰まりやすいため、丁寧に磨いてください。

装置の特長

参考文献:ばん歯科

取り外しはできません。アライナー矯正の前後で併用することがあります。

※当院では、マウスピース矯正とアラインチューブ矯正を併用した際の追加費用はかかりません。

マルチブラケット
(=従来の針金)矯正

歴史のある「ワイヤー矯正」で、
難しい歯並びにも対応しやすい

歯の表面に「ブラケット」というボタンのような装置をつけ、そこにワイヤーを通して歯を引っ張る、昔からある治療法です。

治療中の見た目やご自宅で行うこと

見た目

装置が見えます。最近は白い装置もありますが、近くで見ると分かります。

ご自宅で行うこと

装置の周りに食べ物が詰まりやすいので、丁寧な歯磨きが必要です。

装置の特長

歯を大きく動かしたり、複雑なねじれを治したりするのが得意です。

マルチブラケット矯正が難しい歯並びに対応できる理由として、「歯を動かす力の強さ・細かな調整力・装置の固定力」という点が挙げられます。

私に合うのはどれ?
矯正治療のカンタン比較

各治療や装置の特長を一覧にしました。ご自身に合った治療法を検討する参考になれば幸いです。

比較項目 シェイプメモリーアライナー アラインチューブ マルチブラケット矯正
装着イメージ
おすすめの人
  • 見た目を気にする人
  • 接客業・スポーツをする人
  • とにかく早く動かしたい人
  • マウスピースと併用する人
  • 歯のデコボコがかなり強い人
  • 自分で着け外しするのが面倒な人
見た目 ◎ 透明で目立たない ◯ 透明だが装置はつく △ 装置が見える
痛み ◎ 少ない ◯ 普通 △ 調整後は痛むことがある
食事・歯磨き ◎ いつも通り(外せるので快適) △ 詰まりやすい △ 詰まりやすい
通院頻度 2ヶ月に1回(忙しい方も安心) 1ヶ月に1回 1ヶ月に1回
制作・対応 型取り後のデザイン変更なども臨機応変に対応 外部発注の場合あり その場で調整

矯正治療中に関するよくある質問

Q.
治療中、歯はどうやって動くの?
A.

「弱い力」をかけ続けることで、骨の中を移動します。
矯正装置で一定の方向に力をかけ続けると、進む方向の骨が溶け、反対側の骨が新しく作られます。これを繰り返して、歯はゆっくり移動します。
当院ではCT撮影で「骨の状態」や「根っこの形」まで見て、無理のない安全な力を計算しています。

Q.
家でどんなことをしないといけないの?
A.

治療法によって「患者様の役割」が違います。

  • シェイプメモリーアライナーの場合:
    「着けること」が重要です。1日20時間以上、自分で装着しないと歯が動きません。その代わり、歯磨きはいつも通り楽にできます。
  • アラインチューブやマルチブラケットの場合:
    「磨くこと」が重要です。 装置は外せないので、専用のブラシを使って食べカスを掃除する必要があります。
Q.
相談に行ったら、すぐに矯正を始められますか?
A.

まずは「土台」となる虫歯や歯周病の治療を最優先します。
歯周病(歯肉の炎症)がある状態で無理に歯を動かすと、歯を支える骨が溶けてしまったり、歯茎が下がったりするリスクがあります。
当院は総合歯科医院ですので、虫歯治療や歯周病コントロール(歯石除去など)もトータルで対応可能です。

Q.
どんな歯並びでも、マウスピースだけで治せますか?
A.

デジタル診断で判断しますが、難しい場合は「ワイヤー」も併用します。
骨格的なズレが大きい場合など、マウスピース単独では難しい症例も存在します。
診断の結果、マウスピースだけでは難しい場合でも、「最初はワイヤーで大きく動かして、仕上げはマウスピース」といったハイブリッドな治療をご提案できるのが当院の強みです。

デジタル診断による
矯正治療検査(診査)の流れ

当院では、従来の「歯並びだけを整える」のではなく、顔全体のバランスと機能を重視している点が強みです。
「どの矯正治療が患者様に合うか」を検査するデジタル診断について紹介いたします。

Step01iOS(デジタルでの型取り)

粘土のような今までの型取りではなく、スキャナーでお口の中を読み取っていくことで、歯型をデジタルで表現します。

Step02セファロ(レントゲン)

  1. 顎の骨の位置バランスを見る横顔のレントゲン
  2. 歯並びの問題がにあるのか、にあるのか、両方なのかを見分ける
  3. 無理に歯を動かして「口元が引っ込みすぎてしまう」というトラブルを防ぐ為の安全確認や仕上がりの予想が可能
  4. お子様の顎の成長方向も見ることが可能

Step03歯科用CT

顎の骨のどこに歯の根っこがあるかを見ます。そして、顎の関節の位置関係を確認していきます。

Step04顔写真

フェーススキャンという装置で撮影することで、お顔の三次元(立体)の写真が一瞬で撮ることができます。

上記4つの検査を1つのデータに重ね合わせることで、
顔の骨格に問題があるのか、歯の傾き(歯そのもの)に問題があるのか、
あるいは両方に問題があるのかを診査します。

Nemo(ネモ)というソフトに入れて治療計画をたてます。

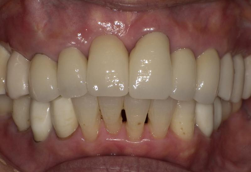
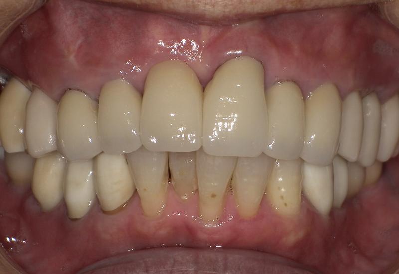
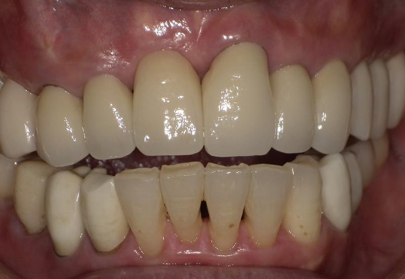
症例

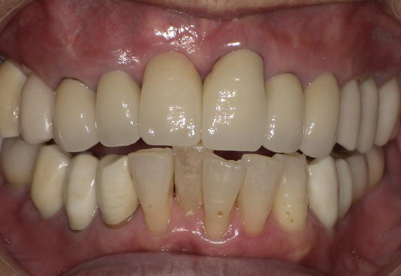
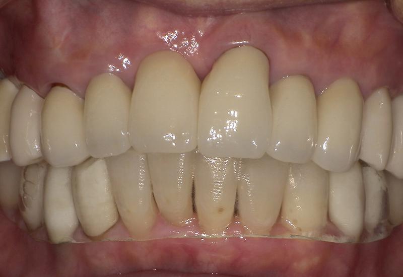
症例① シェイプメモリーアライナーによる下顎の前歯の矯正

治療期間 7ヶ月
治療時の年齢/性別 68歳 / 女性
かかった治療費 440,000円
治療方法 シェイプメモリーアライナー
注意点・詳細
  • 根管治療をしてある歯はなるべく動かさない
  • 下の前歯の歯の形を少しだけ小さく整えた

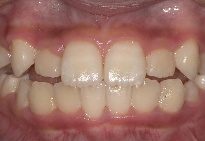
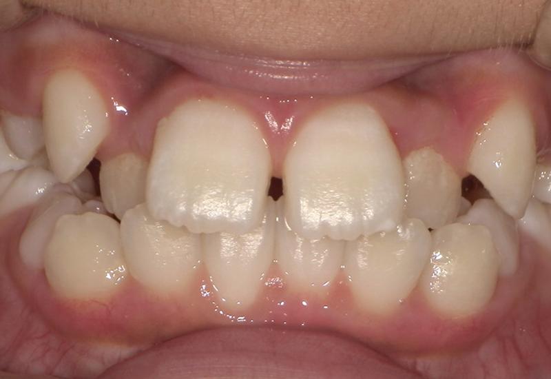
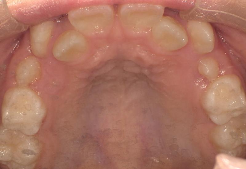
症例② シェイプメモリーアライナーによる混合歯列期の矯正

治療期間 6ヶ月
治療時の年齢/性別 10歳 / 女性
かかった治療費 440,000円
治療方法 シェイプメモリーアライナー
注意点・リスク 今、現在萌えてきている永久歯を動かす為、なるべく早く治療を終了させる

治療費用

※掲載の料金はすべて税込の金額です。

小矯正(MTM) 440,000円
全顎矯正 880,000~1,320,000円

※詳細な費用は歯牙移動量によって異なります。

最高レベルの透明度と
割れにくい耐久性を実現

シェイプメモリーアライナー矯正については、院内ラボで歯科用3Dプリンターを使用し、専任スタッフが一つひとつ丁寧にアライナー(マウスピース)を仕上げています。

矯正相談・歯並びに関するお問い合わせは、お電話でお気軽にどうぞ。

TEL0545-81-2248
OPEN
9:30-15:00
16:30-18:30
CLOSE
木曜・日曜・祝日